Telerradiografía

Santiago de los Caballeros

Ofrecemos telerradiografías digitales de alta calidad, incluyendo lateral de cráneo, posteroanterior (P.A.) y ATM, fundamentales para estudios cefalométricos y planificación ortodóntica. Gracias a equipos avanzados, obtenemos imágenes precisas que permiten evaluar la estructura ósea facial con gran detalle.

Garantizamos rapidez, bioseguridad y una atención enfocada en brindar soporte diagnóstico confiable a odontólogos y especialistas.

imagen-lateral-de-craneo-rd
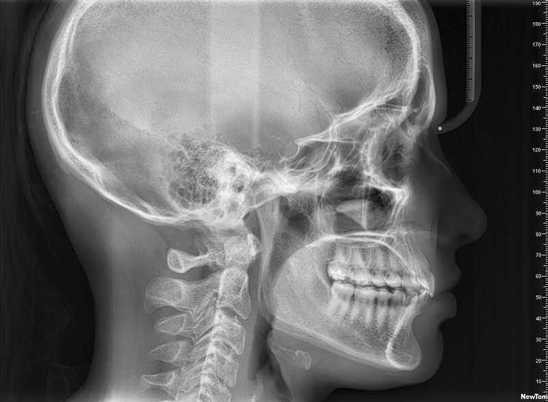
Lateral de Cráneo

• Es un estudio clave para la ortodoncia ya que permite medir los ángulos y proporciones de la estructura ósea de la cara del paciente. A su vez visualiza el progreso de la ortodoncia. Es recomendable que se acompañe de un estudio cefalométrico.

q
P.A

En la Telerradiografía postero anterior de cara, la sutura sagital y lambdoidea son las magnificadas. Permite valorizar las asimetrías craneofaciales, observar en el tiempo el crecimiento del paciente y evaluar los senos paranasales. 

Imagen-AP
A.p

En la antero posterior aparecen magnificadas las órbitas y zona frontal. Facilita la observación de traumatismos maxilofaciales.

Tele - Carpal
Carpal

La telerradiografía del carpo o radiografía carpal es el método de diagnóstico más usado y aceptado para determinar el nivel de maduración ósea de un individuo. Se utiliza para evaluar la edad ósea del paciente y poder establecer una relación con respecto a su edad cronológica, con el fin de determinar el nivel de desarrollo y maduración. Es importante para la ortodoncia ya que a partir del nivel de maduración se ajusta el tratamiento.v 

¿Necesitas más información sobre nuestros servicios?

Déjanos tu nombre y correo en el formulario adjunto para enviarte vía correo nuestro listado de precios.

Descarga nuestro talonario de servicios >>

Descargar