Imágenes 3D y Bimaxilar

Santiago de los Caballeros

En Qualita Radiología Dental, realizamos estudios de imágenes 3D y escaneo bimaxilar con equipos de última generación, ideales para diagnósticos precisos en tratamientos de implantes, ortodoncia, endodoncia y cirugía maxilofacial. Nuestro servicio en Santiago de los Caballeros garantiza alta resolución, rapidez en la entrega y un ambiente seguro y profesional tanto para el paciente como para el odontólogo. Confía en nosotros para obtener la visualización completa y detallada que tu tratamiento necesita.

3D - Bimaxilar
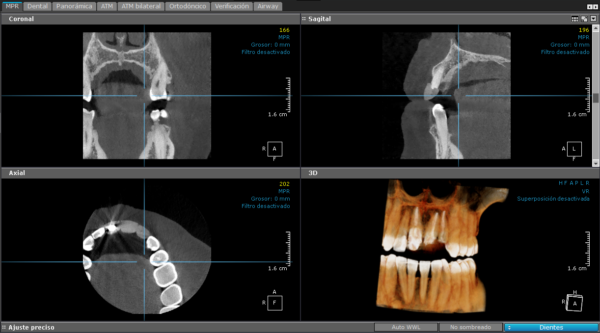
bimaxilar

Es un examen radiológico computarizado de ambos maxilares. Es de especial ayuda para la planificación de cirugía dentales.

3D - Maxilar Superior
maxilar superior

Esta imagen está centrada en el maxilar superior.

3D - Maxilar Inferior
Maxilar Inferior

Esta imagen está centrada en el maxilar inferior.

3D - Cara Completa
Cara completa

Muestra la totalidad de la estructura facial y mandibular (arcadas superior e inferior, huesos maxilares, mandíbula y estructuras de soporte). Está particularmente indicada para la valoración del número y la posición de los dientes, por lo que son muy útiles para la planificación de una ortodoncia e implantes.    

3D - EndoScan HD
EndoScan HD

Es una tomografía de más alta calidad y definición, utilizada para endodoncia. Permite ver a detalle y con alta definición la zona de interés.      

3D - Pieza Espec¡fica
área o pieza específica

Imagen tridimensional que permite tener una visión más específica y directa del área o pieza solicitada.

3D - ATM
Rayos X

Técnica mediante la cual, utilizando rayos X, se obtienen imágenes de la articulación temporo-mandibular para su estudio. Se indica cuando hay traumatismo, dolor al masticar, ruido al masticar y limitación en la apertura bucal.

¿Necesitas más información sobre nuestros servicios?

Déjanos tu nombre y correo en el formulario adjunto para enviarte vía correo nuestro listado de precios.

Descarga nuestro talonario de servicios >>

Descargar